こんにちは、院長の眞舘です。
今回は、「通常とは異なる形態をした歯」「生まれつき永久歯が足りないこと」に関するお話です。
かかりつけ歯科医院で歯の形を指摘された人もいるかもしれませんね。
この記事を読むことで「矯正治療の方針に影響する歯の形態異常の種類や先天性欠如について」わかります。(所要時間約3分)。
歯の形態異常は歯並びに影響する
歯の形態異常は矯正治療で歯並びを整えても形態異常はそのまま残ってしまいます。そのため、形態異常の歯をどうするのか(そのまま並べるのか、かぶせ物で形態を修正するのか、など)を治療前によく相談し、決めておく必要があります。
癒合歯

2つの歯胚(歯になる原器)が融合してできたもの。エナメル質、象牙質も癒合し、かつ歯髄(一般的には神経と呼ばれている)も癒合している場合が多いです。
癒合歯がある場合は、上下歯列の真ん中をぴったり一致させるのが難しくなったり、かみ合わせがわずかにずれる(日常生活に支障は出ないレベルでのわずかなずれ)原因になったりすることがあります。
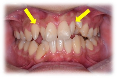
シャベル状の前歯

日本人に非常に多く見られる歯の形態です。前歯の厚みが厚く、特に両端にいくとさらに厚みが増している形態になり、中央はくぼんでいるように見えることからシャベル状切歯とよばれます。
歯の厚みがあるので、矯正治療後に少しだけ出っ歯の感じが残ってしまいます。辺縁を削っていけばもう少し前歯を引っ込めることができこともありますが、場合によっては上下の歯と歯の間も削る必要性が出てきます。
矮小歯(円錐歯、栓状歯)

上顎の側切歯によく見られます。歯が、小さく・細くなっている状態です。
矯正治療で並べると、上下左右の歯の大きさとのバランスが問題になります。上下歯列の真ん中が一致しきれなかったり、かみ合わせにわずかなずれが生じることがあります。
事前あるいは矯正治療中にこのままの大きさでよいのか?という事を話し合っておく必要があり、歯の大きさをかえる場合は、それを考慮した治療方針にする必要があります。
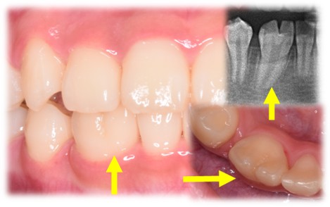
先天性欠如

先天性欠如とは、生まれつき永久歯がないことを指します。本来、乳歯の後には永久歯が控えていて、乳歯が抜けた後に永久歯がはえてくる流れになりますが、先天性欠如の場合は乳歯の後ろにあるはずの永久歯がうまれつき存在しないことになります。先天性欠如で永久歯が生えてこない場合は、いつまでたっても乳歯が残ったままとなります。
かかりつけ歯科医院があれば、エックス線写真をとることで指摘されることが多いですが、かかりつけ歯科医院がなく歯科医院へ通院したことがないような方であれば、学校歯科検診で指摘される場合が多いでしょう。まれに大人になるまで知らなかったという方もいらっしゃいます。
先天性欠如がある場合は、二期治療=永久歯列期での治療では「乳歯を抜いて今ある歯でスペースを詰める」ことが第一案になるでしょう。というのも、統計的に乳歯は25~30歳あたりで自然に抜けてしまうことが多いとされているからです(必ず抜けるというわけではなく少数ではありますが40歳でも50歳でも乳歯が残っている方もいます)。
人によっては、矯正治療をせずに乳歯が抜けるまでそのままにして、抜けてしまったらその時点でデンタルインプラントなどの歯科的処置をすることを希望される方もいらっしゃいます。これら方針については矯正医やかかりつけ歯科医に相談の上、ご自身が納得する方針を採用すればよいでしょう。
なお、(親知らずをのぞいて)6本以上先天性欠如がある場合は、保険適用の矯正治療を受けることができます。
※ ご不便をおかけしますが、当院では現在、保険適用の矯正治療は対応不可となっております。
石川県金沢市の矯正歯科専門医院「金沢けんろく矯正歯科」
当院は、石川県金沢市にある山側環状線からアクセス便利な矯正歯科専門医院です。金沢市だけではなく、小松市・白山市・野々市市・津幡町・かほく市からも患者さまが通院してくださっています。何かお困りごとがございましたら是非当院に一度ご相談にいらしてください。
