こんにちは、院長の眞舘です。
今回は、「受け口」「反対咬合」とかかりつけや学校検診で指摘された患者さまに向けてのお話です。
子供の受け口について
小児の受け口について、小児矯正(一期治療)のタイミングであれば反対咬合を矯正治療で治すことはそこまで困難ではありません。
ただし、家族・親族に受け口傾向の方がいて、子供の時期から骨格的に受け口傾向のあるお子さまは、一期治療をして一時的に改善しても、成長に伴い受け口が再発する可能性があります。
成長して受け口の程度が中等度~重度である場合は、顎機能診断施設へ転院が必要になることもあります。そのため、お子さまが受け口の場合は、顎機能診断施設に登録されている医院で小児矯正(一期治療)を始めることを検討していただいたほうが治療の流れがスムーズかもしれません。
もちろん、将来的な転院の可能性をご理解いただいたうえで、当院に通院していただくことも可能なので、お子さまの受け口が気になる方は一度初診相談にいらしてください。
受け口に対する矯正治療
「受け口」を二期治療=永久歯列期での治療で治す場合、「矯正治療と外科手術を併用すれば治せる」ケースと「矯正治療だけで治せる」ケースとがあります。
矯正治療と外科手術を併用すれば治せるケース

受け口の程度が中等度~重度な場合、顎の左右への曲がり(偏位)が重度な場合、受け口であり横顔を気にされている場合(俗にいう”しゃくれ”た状態)、であれば矯正治療だけでは治すことが難しく、外科手術の併用が必要になります。
この矯正治療+外科手術の治療を「外科的矯正治療」と呼びます。
外科的矯正治療では、「”顎変形症”という病名がつき、保険で矯正治療が受けられる」ことが特徴です。
ただし、保険で矯正治療が受けられるかどうかは、その矯正治療を行う歯科医院が厚生労働省が定める施設基準を満たしているかどうかであり、その施設登録がされていないと保険での矯正治療はできません。特殊な機器を導入し、その他条件を満たすと「顎機能診断施設」と登録され、顎変形症の矯正治療を保険適用で受けることができます。
ご迷惑をおかけしますが、当院は顎機能診断施設の申請をしていないため、顎変形症の矯正治療を保険適用で行うことはできません。
そのため、受け口の程度によってはカウンセリングに来ていただいても治療をお受けできないことがございます。予めご了承ください。
顎変形症を保険で治せる医院について
「顎機能診断施設」「顎変形症」などのキーワードと「石川県」「北陸」などの地域名を組み合わせて検索すると、外科的矯正治療を保険適用でできる医院を探すことができると思いますので、ご参考になさってください。
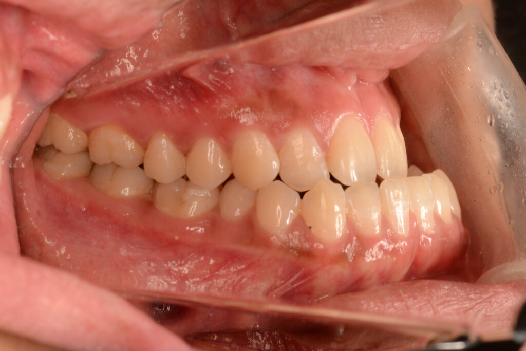
受け口を矯正治療だけで治せるケース
受け口を矯正治療だけで治せるケースは、受け口になっている要因が叢生(でこぼこ)であったり、受け口の程度が軽度で横顔を気にしていない場合、骨格的な要素がない場合です。
ご自身で顎を後ろに引いて噛んでみたときに、上顎と下顎の前歯が頭で噛める場合は、骨格的要素は軽度と言えるかもしれません(あくまで参考ではありますが…)。
上記の場合であれば、矯正治療単独で受け口の改善は可能ですが、小臼歯抜歯が必要であったり、歯科矯正用アンカースクリューの併用が必要であったりします。
当院で受け口を矯正治療単独で治した事例 ←リンク
