13歳女子:予後不良な前歯を抜歯してイレギュラーな排列で出っ歯を改善したケース
公開日:/最終更新日:
-
主訴
出っ歯 -
症状
上顎前突 -
その他の問題点
埋伏犬歯による右上中切歯の病的歯根吸収、右下前歯の先天性欠如 -
年齢・性別
13歳・女子 -
使用装置
マルチブラケット装置(表側) -
抜歯 or 非抜歯
抜歯 -
抜歯コメント
右上中切歯、左上第一小臼歯 -
治療期間
1年10か月 -
費用
約880,000円(当時) -
リスク
歯の根っこが短くなる可能性がある、神経が壊死する可能性がある、歯を削る可能性がある
※ 現在の費用と異なる可能性があります。
※ 患者さまに同意をいただいた資料の中から写真を掲載しております。症例によって掲載写真枚数が違うことがあります。
院長からのコメント
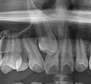
犬歯が骨の中に埋まっており、かつ右上一番目の歯(中切歯)の根を病的に溶かしてしまっている状態でした(下写真参照)。ここまで歯根吸収が起きていると、歯根が溶けてしまった中切歯は予後不良と判断し、抜歯の対象となります。上顎前突(いわゆる出っ歯)も認めるため、左上も抜歯して上下の前歯を後退させる方針としました。下顎前歯に先天性欠如を認めたため、下顎は抜歯を行いませんでした。歯列矯正を行うことで、きれいな歯並びとかみ合わせを獲得しています。右上に関しては犬歯の先端は尖った形状をしているため、左上中切歯との並びが不揃いになることから、右上犬歯にはレジンと呼ばれる歯科用材料で隣の歯の形に似せるように形態修正を施しています。下顎前歯が1本先天性欠如であり、上下の前歯の本数がそれぞれ4本と3本で異なっているため、上下歯列正中の仕上がりはご覧の通り、上顎の正中が下顎前歯の中央に一致する形となります。
