8歳女子:小児のマウスピース矯正でデコボコを改善したケース
公開日:/最終更新日:
-
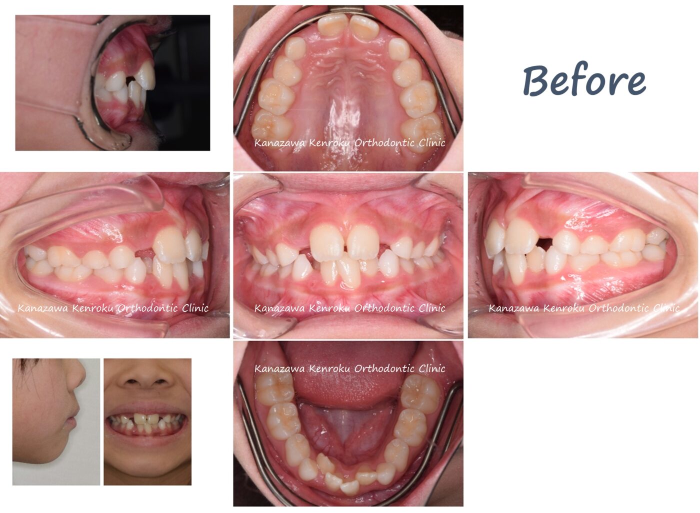
主訴
顎が狭すぎて歯が入りきらない -
症状
叢生 -
年齢・性別
8歳・女子 -
使用装置
マウスピース矯正装置(インビザラインファースト) -
抜歯 or 非抜歯
非抜歯 -
治療期間
11か月 -
費用
約530,000円(当時) -
リスク
成長や生え変わりによっては叢生が再発する可能性がある。それに伴い二期治療が必要になる可能性がある
※ 現在の費用と異なる可能性があります。
※ 患者さまに同意をいただいた資料の中から写真を掲載しております。症例によって掲載写真枚数が違うことがあります。
院長からのコメント
親御さまが、永久歯が生える場所がないと心配になりご来院されました。歯列矯正前には上下顎前歯の叢生を認め、上唇小帯(上唇のヒダ)が上顎中切歯間に入り込んでいる疑いがありました。小児のマウスピース矯正装置を利用した歯列矯正により、上下の前歯をきれいにならべ、かつ永久歯が生えてくるスペースも十分に確保することができました。ただし、この患者さまは左上第二小臼歯という歯が先天性欠如(生まれつきない)ため、二期治療がほぼ必須になるでしょう。そのため、上唇小帯に関しては一期治療ではあえて切除せずに経過観察としてあります。今後上の前歯に隙間が生じるようであれば二期治療にあわせて上唇小帯切除術が必要になります。
