17歳女子:抜歯をして出っ歯を1年3か月で治したケース(先天性欠如あり)
公開日:/最終更新日:
-
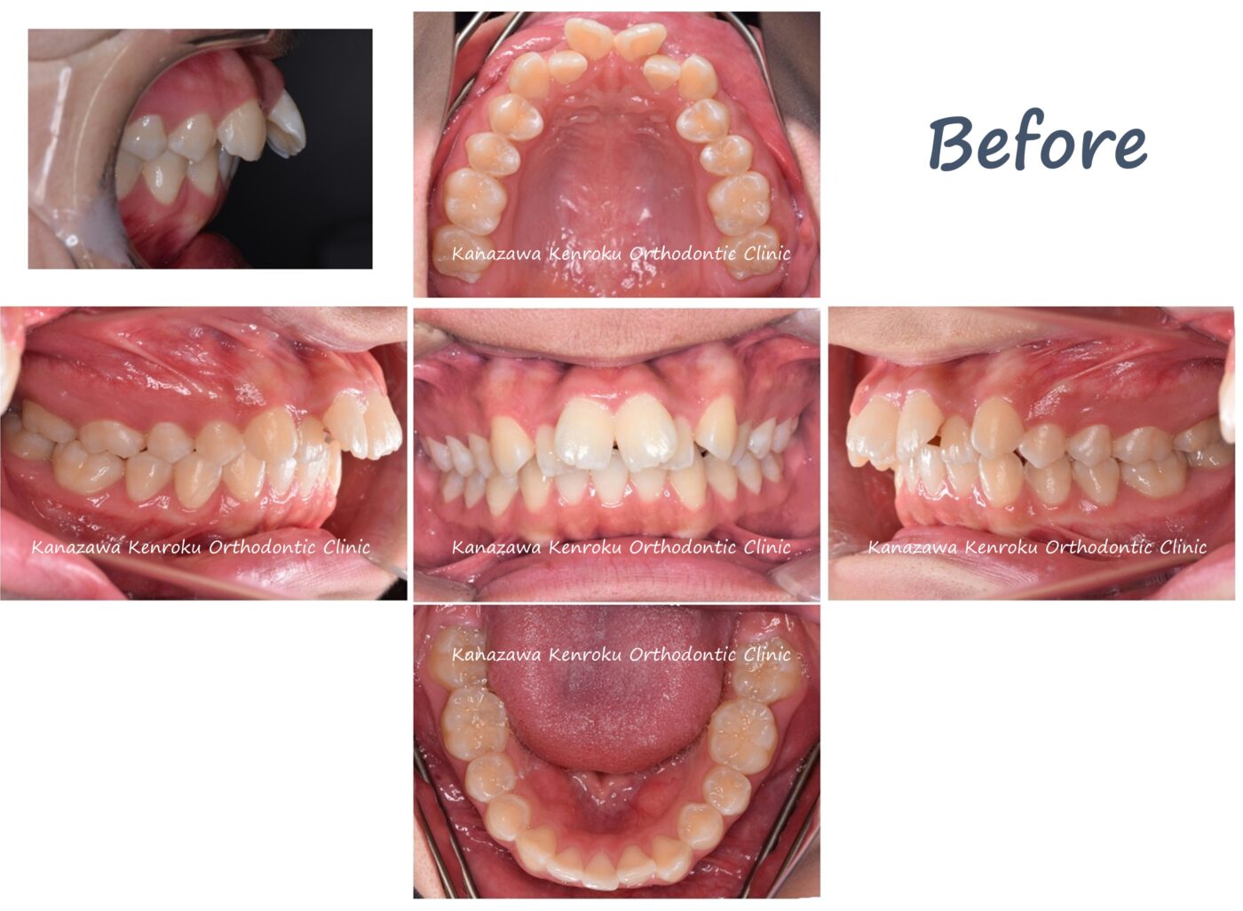
主訴
出っ歯 -
症状
上顎前突 -
その他の問題点
右下前歯の先天性欠如 -
年齢・性別
17歳・女子 -
使用装置
マルチブラケット装置(表側) -
抜歯 or 非抜歯
抜歯 -
抜歯コメント
上顎両側第一小臼歯 -
治療期間
1年3か月 -
費用
約880,000円(当時) -
リスク
歯の根っこが短くなる可能性がある、神経が壊死する可能性がある、歯を削る可能性がある
※ 現在の費用と異なる可能性があります。
※ 患者さまに同意をいただいた資料の中から写真を掲載しております。症例によって掲載写真枚数が違うことがあります。
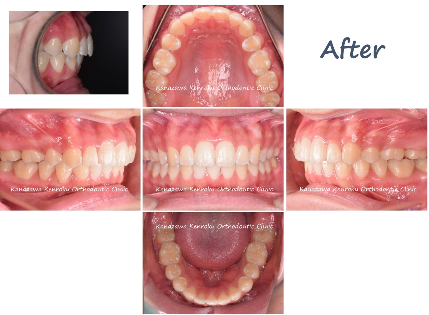
院長からのコメント
出っ歯を主訴に来院されました。右下の前歯が先天性欠如(生まれつきない)の状態でした。奥歯のずれが著しかったため、下顎は抜歯せずに上顎2本だけを抜歯して前歯を後退させる方針としました。抜歯をともなう治療ですが、1年3か月と短期間で治療終了することができました。下顎前歯が1本ないため下顎の前歯が3本、上顎前歯が4本であり、上下顎の前歯の本数に差異があることから、上下の歯の真ん中(正中)の仕上がりは一致せず、写真の通りになります。上顎歯列正中が下顎前歯の中央に一致する形になるわけですね。
