15歳女子:出っ歯を抜歯して1年5か月で治したケース
公開日:/最終更新日:
-
主訴
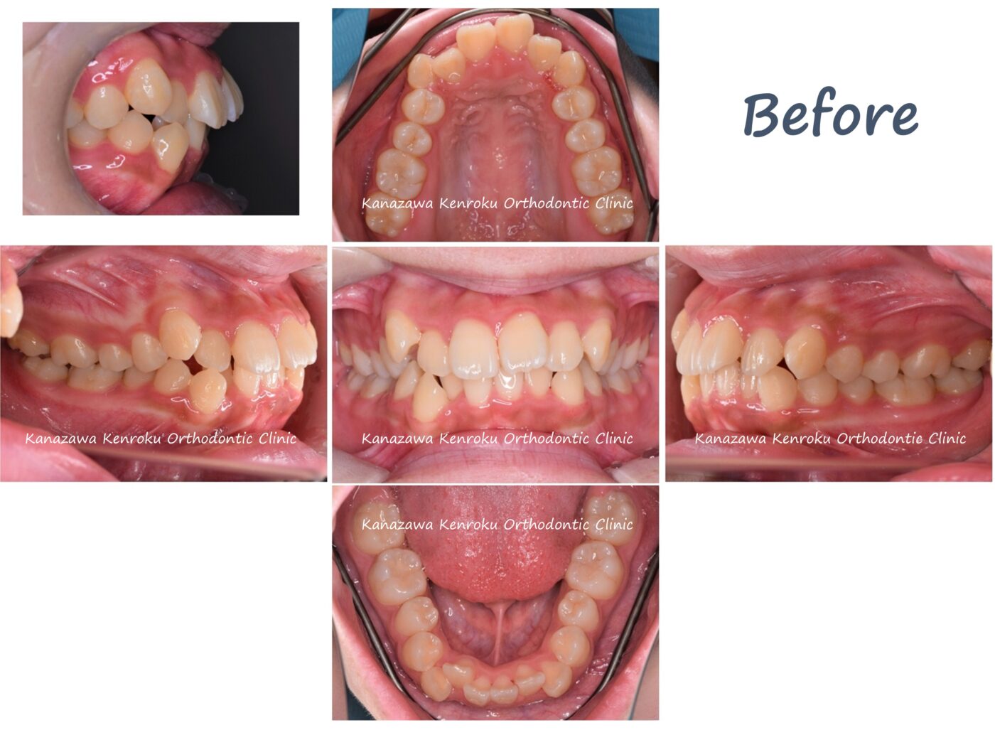
出っ歯 -
症状
上顎前突 -
その他の問題点
叢生 -
年齢・性別
15歳・女子 -
使用装置
マルチブラケット装置(表側) -
抜歯 or 非抜歯
抜歯 -
抜歯コメント
上下顎両側第一小臼歯 -
治療期間
1年5か月 -
費用
約920,000円(当時) -
リスク
歯の根っこが短くなる可能性がある、神経が壊死する可能性がある、歯を削る可能性がある
※ 現在の費用と異なる可能性があります。
※ 患者さまに同意をいただいた資料の中から写真を掲載しております。症例によって掲載写真枚数が違うことがあります。
院長からのコメント
出っ歯を主訴にご来院されました。軽度の八重歯も認めます。抜歯を伴う治療は一般的に2年~2年半ほどかかる治療になりますが、当院では10代の利点を生かして短期治療を目指しており、今回のケースではうまく治療を進めることができたので、1年5か月での治療終了となりました。もちろん、短期治療には患者さまのご協力が欠かせません。短期での治療だからといって、仕上がりが甘いということはなく、理想的な歯列弓・咬合を獲得しています。なお、シャベル状切歯のため治療後もやや前歯の前後的ギャップは残ったような感じになります。
