19歳女性:口が閉じにくさを小臼歯4本抜歯をしてワイヤー矯正で治療したケース
公開日:/最終更新日:
-
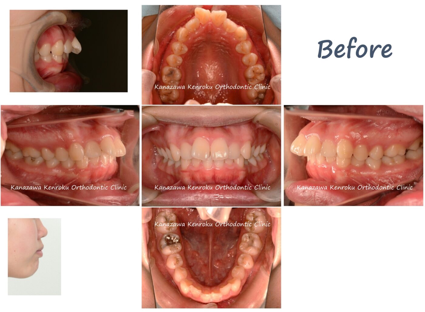
主訴
出っ歯、口が閉じにくい -
症状
上顎前突・叢生 -
年齢・性別
19歳・女性 -
使用装置
マルチブラケット装置(表側) -
抜歯 or 非抜歯
抜歯 -
抜歯コメント
上顎両側第一小臼歯、下顎両側第二小臼歯 -
治療期間
2年4か月 -
費用
約930,000円(当時) -
リスク
歯の根っこが短くなる可能性がある、歯肉が下がる可能性がある、神経が壊死する可能性がある
※ 現在の費用と異なる可能性があります。
※ 患者さまに同意をいただいた資料の中から写真を掲載しております。症例によって掲載写真枚数が違うことがあります。
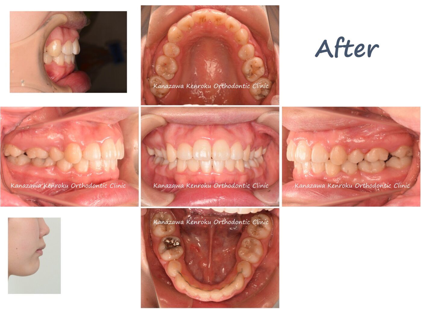
院長からのコメント
出っ歯と口唇閉鎖不全を主訴に来院されました。口唇閉鎖不全を改善するためには抜歯が必要になることが多く、今回も例に漏れず上下両側の計4本抜歯をして前歯を後退させる方針としました。治療後には顎先の緊張感がなくなり、きれいな横顔を獲得できました。
